みなさんこんにちは、院長の諏訪です。
早いもので年が明けてもう10日が経とうとしています。
1年の2.5%が過ぎてしまいました。
こういう考え方は・・よくないのかもしれませんね。
寒いのか暖かいのかよくわからない日が続きますが、
健康第一です。
さて、本日はよくある腫瘍、リンパ腫の話です。
リンパ腫とは
リンパ腫は犬や猫で遭遇する機会の多い血液腫瘍です。
当院でもリンパ腫は年間を通して最も紹介も相談も多い腫瘍です。
意外と知られていないのはリンパ腫の種類の多さです。
「リンパ腫」と一言で腫瘍のことを指しますが、
多くの分類が存在し、その予後はさまざまです。

リンパ腫の分類法あれこれ
たとえば免疫表現型による分類法。
リンパ球にはT細胞やB細胞、その他NK細胞などいくつかの
免疫表現型とよばれるものがあります。
これらのどの細胞が腫瘍化するかによって、
リンパ腫の種類が変わります。
この分類を用いた場合、B細胞性リンパ腫やT細胞性リンパ腫などと
呼ばれます。
異なる分類法として解剖学的分類法があります。
これらは体表リンパ節が腫脹する多中心型、
腸などに発生する消化管型、
肝臓や脾臓に発生する肝脾型、
胸の中に発生する縦隔型など
発生する場所(臓器)によって分類されます。
さらに別の分類法として組織学的分類法があります。
これはリンパ節ひとつを組織学的に検査することにより、
リンパ節のどの部位が腫瘍化しているか、
組織全体で把握する分類法です。
少し難しいですが、
び慢性大細胞性リンパ腫(DLBCL)、Tゾーンリンパ腫(TZL)、
辺縁帯リンパ腫(MZL)といった分類となります。
ここで表しているのはあくまで一握りに過ぎずたくさんの種類があります。
例えば犬の体表リンパ節が多数腫脹しているとして、
この免疫表現型がB細胞性であり、組織学的にはDLBCLであったとすると、
このリンパ腫はB細胞性多中心型リンパ腫(DLBCL)といったような種類になります。
複雑ですね。
他にも細胞学的な分類で大細胞型や小細胞型など、
言い出したらきりがないくらいです。
そして、それぞれに予後や治療法が変わってきます。
リンパ腫と一言で言っても同じではないんです。
LGLリンパ腫
こういった分類のなかに細胞学的に腫瘍化したリンパ球の細胞質内に
アズール顆粒を多数持つリンパ腫のことを、さきほどの分類とは別に
LGLリンパ腫(大顆粒リンパ球性リンパ腫)と呼びます。
LGLリンパ腫は以前はかなり稀な腫瘍として考えられていましたが、
最近では診断精度も上がり、比較的遭遇する機会も増えた印象を受けます。
元々その予後の悪さが有名であり、頻度も少ないため確立された治療も
ありませんでした。
しかし、近年少しずつ報告も増えてきており、今後のブレイクスルーが期待される
リンパ腫だと思っています。
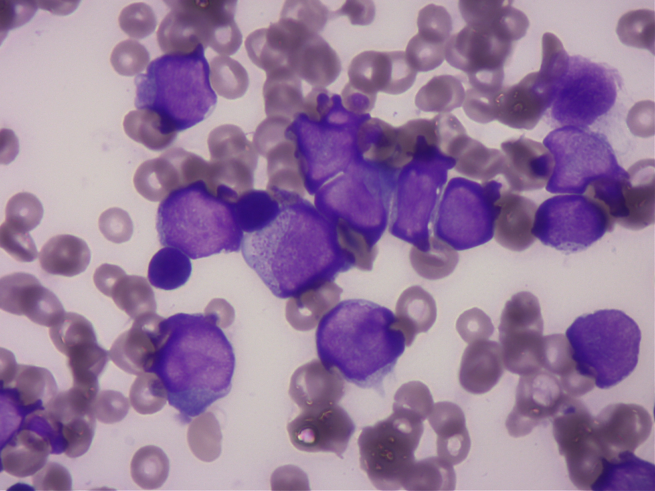
↑写真は当院でLGLリンパ腫と診断した犬の細胞診です。
リンパ球の細胞質内にアズール好性の顆粒が目立ちます。
LGLリンパ腫65例の犬の報告
LGLリンパ腫の犬65例をまとめた報告が2023年12月にされました。
これだけの数をまとめているだけでも価値のある報告だと思います。
この報告では解剖学的分類として多かったのが
肝脾型が32.8%、消化器型が20.7%でした。
また30.8%の症例で末梢血や骨髄への浸潤を認めました。
化学療法を行い、74.1%で反応を認めたとされていますが、
無病進行期間は17日間、全生存期間は28日間と、
その予後の悪さがわかります。
それらの中でも診断時に好中球減少や血小板減少のある症例は
さらに予後の悪いことが示されています。
発生部位としての診断の難しさ、
LGLそのものの挙動の激しさなど、
治療しても難しい症例が多いことは確かであり、
悔しい思いをすることの多い疾患です。
ただ、できる限り早期発見、早期治療を行えるよう
常にアンテナを張っておく必要がある疾患です。
原文はこちら→Large granular lymphocyte lymphoma in 65 dogs (2005–2023)
