こんにちは、院長の諏訪です。
突然ですが、「血栓症」をご存知でしょうか?
ヒトでは心筋梗塞や脳梗塞、エコノミー症候群などが血栓症の一つになります。
血栓症は突然死を引き起こしたりする恐ろしい病気としてヒトでも注目されている分野になります。
血栓症は病態が非常に複雑であり、さらになかなか目に見えてこないため診断がとても難しい病態です。
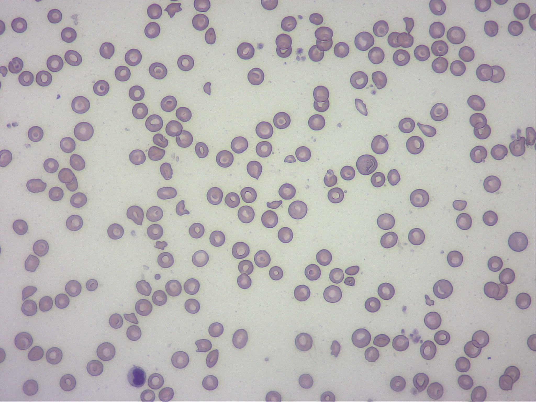
写真は犬の血栓症を疑った際の血液塗抹の顕微鏡写真になります。
赤血球がちぎれた破砕赤血球がたくさんみられます。
ですが、顕微鏡だけで血栓症を診断することはできません。
動物においてももちろん、血栓症は存在し、今どんどん研究がなされている分野です。
検査法や治療法が毎年のように新しくなっていき、エビデンスが少しずつ増えています。
まだまだ報告数が少なく、しっかりと確立された分野ではありませんが、これからの進展が期待されます。
そんな中、2018年に論文雑誌であるJournal of Veterinary Emergency and Critical Careに、
小動物の抗血栓療法に関するガイドラインが報告されました(CURATIVE guidelines)。
結構ボリュームのある論文で読み応えのあるものになっています。読んで理解するのが大変でした。
また、先日参加した内科学アカデミーでもCURATIVE guidelinesの講義を受けました。今、ホットな分野です。
内容は犬や猫における血栓を引き起こしやすい疾患について最初に書かれています。
代表的な疾患として、前回のブログでも書きました免疫介在性溶血性貧血(IMHA)や、タンパク漏出性腎症(PLN)、
膵炎、心臓病などが挙げられます。これらはあくまでも一部にすぎません。
そのあと、抗血栓療法として抗血小板薬と抗凝固薬の使用をそれぞれの病態に合わせて、
どの薬がいいのか、2つの薬を組み合わせたらどうか、モニタリングはどうするか、いつまで続けるかなどについて
とても詳細にエビデンスに基づいて評価されています。
血栓には動脈血栓と静脈血栓があり、白色血栓、赤色血栓とも呼ばれます。
これらの血栓形成は病態が異なり、治療法も異なってきます。
さらにその薬物がしっかり効果があるのかをモニタリングするための検査も様々です。
多くの抗血栓療法に使用される薬物に対して、未だ動物でエビデンスがしっかり評価されていません。
病態は複雑で、検査も様々で、さらにエビデンスがしっかりしていない、とても頭を悩ませるものとなっています。
それでもこの現状の中で、一人一人にあった治療法を考えていきたいと思っています。
論文を読んで、頭が整理された部分もありますが、これからの研究に期待したい部分もたくさんありました。
日進月歩の獣医療です。日々勉強し、みなさまのお役に少しでも立てれば、と思います。

