みなさん、こんにちは。院長の諏訪です。
だいぶ朝も暖かくなりました。
太陽の陽もなんとなく柔らかい感じがします。
朝スッキリ起きるためには、質の高い睡眠が必要だそうです。
質の高い睡眠を得るためには、寝る前にスマホを触らないなど、色々あるようですが。
ついついスマホ、触ってしまいますよね。。
先日購入した本の紹介です。
「猫をもっと幸せにする「げぼく」の教科書」
この本は獣医さんが書いている猫のHow-to本ですが、
とても内容が素晴らしいと思いました。
このような本はあまりみたことがありません。
どの飼い主様も、飼っている猫は家族で大好きだと思います。
その子のためにできるだけ良い食事や良い環境を
整えてあげたいと思っていろいろなことをされています。
ですが、この情報過多の時代に、どの情報が正しいのか、
利益相反などで情報が操られていないかなど、
グレーなところも多いのが現実です。
良かれと思っていたのに
本当は違ったなんてことも多くあります。
この本は科学的根拠に基づきながら、
猫のために全てを注ぐ!!そんな本です。
待合に置いてますので、どうぞ手に取ってみてください。

さて、論文雑誌のJournal of Veterinary Internal MedicineにACVIM(米国獣医内科学会)が
consensus statement(合同声明)を立て続けに報告しています。
以前IMHA(免疫介在性溶血性貧血)に関しての話をこのブログでも書きました。
これ以外にも多くの疾患に関してconsensus statementを出しており、
1本1本の論文はとても長く、(英語ができない僕は)読むのに苦労しますが、
大変勉強になる内容になっています。
今回はその中で2021年の1月に掲載された「猫の膵炎」に関してです。
猫の膵炎は比較的診断の難しい疾患です。
というのも、
犬のように嘔吐や下痢などの激しい症状が認められず、
食欲がない、元気がないなどの症状だけに
とどまることも多いからです。
血液検査などで疑うことが可能ですが、
一般的な血液検査の項目に加え、
場合によっては膵臓に対して
特異的な膵酵素を調べる必要があります。
とても長いので、
今回と次回の2回に分けて書きたいと思います。
いつもとても難しい内容でわかりにくい点も多いと思いますが、お付き合いください。
1. Introduction
以前は猫の膵炎は稀な疾患と考えられていましたが、近年の研究では犬や人と同様に
一般的な疾患であることがわかってきました。
115匹の猫の剖検を行った報告では、組織学的に膵炎を有していたのは実に66.1%であり、
その中で50.4%が慢性膵炎の、6.1%が急性膵炎、9.6%が急性と慢性の両方の組織像を
有していたとされています。また健康な猫の45%が膵炎の組織像を有していました。
これらのことは、こういった猫の集団がいるのか、現在の膵炎の組織診断基準が過剰であるのか
などの検討が必要であると考えられています。
一方で猫の膵炎の管理は依然として困難であり、決定的な治療法はありません。
2. 定義
人ではある程度、膵炎の定義は標準化していますが、猫の膵炎は今のところ標準化されていません。
一般的には急性膵炎は可逆的な炎症性変化であるのに対し、
慢性膵炎は不可逆的な病理組織学的変化であるとされています。
急性と慢性の違いは主に組織像の話であり、必ずしも臨床症状ではありません。
つまり慢性膵炎の悪化と、急性膵炎を臨床的に区別は不可能かもしれません。
急性膵炎も慢性膵炎もどちらも軽度である場合と、重度である場合があります。
軽度である場合は予後良好であることも多いですが、一方で重度の場合、予後が悪いことも多いです。
また、膵炎と一括りに言っても、それには様々な組織像や病態があり混乱を招いているのも現状です。
3. 病態
猫の膵炎では年齢や性別、品種による違いは報告がなく、さらに、BCS(ボディ・コンディション・スコア)や
食事、投薬歴などとの関連も今のところわかっていません。
寄生虫やウイルスといった感染症は膵炎のまれな病因となりうることが報告されています。
また手術中における膵臓の操作も病因の一つと考えられていますが、術中の低血圧の方がより重要な原因と
考えられています。
臭化カリウムやフェノバルビタールなどの薬剤が犬の膵炎の原因となりうることなどが報告されていますが、
猫では報告はなく、高カルシウム血症は猫の膵炎の原因となりうることが言われています。
猫の膵炎は糖尿病や慢性腸症、胆管炎、腎炎、IMHAなどの併発疾患との関連がわかっています。
一方でこれらの疾患が猫の膵炎の危険因子とされた証拠はなく、
まとめると猫の膵炎の95%以上は特発性であり、具体的な原因を特定できないことがほとんどです。
4. 病態生理学

膵臓の中の腺房細胞内での膵臓消化酵素の早期活性化が人やネコにおける膵炎の発生に重要な役割を担っていると考えられています。
30年以上の研究により、膵臓内のトリプシノーゲンの活性化が急性膵炎の開始のイベントであることがわかってきました。最近の仮説では、カルシウムシグナル伝達の異常が、リソソームとチモーゲン顆粒の共局在化とトリプシノーゲンの活性化を引き起こし、棘細胞死とNFκB経路の早期活性化を引き起こすと推測されています。しかし、急性膵炎で起こる局所および全身の炎症はトリプシン活性化とは無関係に、NFκB 経路の持続的な刺激に依存していることがわかっています。
その後、好中球の流入や、血管透過性の亢進、腺房細胞のバリアの喪失が発生します。
個々の猫における全身の炎症の程度は、その猫の持っている代償性抗炎症反応の程度に依存しています。
膵臓の血液の低灌流や血栓症が膵臓周囲の壊死を引き起こします。
膵臓内の高濃度の胆汁酸やトリプシンも膵臓の壊死に関与しています。
慢性膵炎が急性膵炎とは無関係に発症する場合、トリプシンの活性化は無関係と考えられています。
コレシストキニンと酸化ストレスが、トリプシンの活性化とは無関係に、
膵臓腺房細胞に対して損傷と壊死を引き起こすことが報告されています。
これは、カルシウムイオンシグナル伝達とミトコンドリアの膜電位の破壊を介して発生するとされています。
(ここからさらに難しくなるので略)
5. 臨床徴候
| 臨床徴候 | 発生率 |
| 元気消失 | 51-100 % |
| 食欲不振 | 62-97 % |
| 嘔吐 | 35-52 % |
| 体重減少 | 30-47 % |
| 下痢 | 11-38 % |
| 呼吸困難 | 6-20 % |
6. 診断的画像検査
6-1. X線検査
猫の膵炎に対してのX線検査の感度や特異度は高くありません。
(ですが、併発疾患や基礎疾患の探索を目的として検査をすることは大切なことだと思います。)
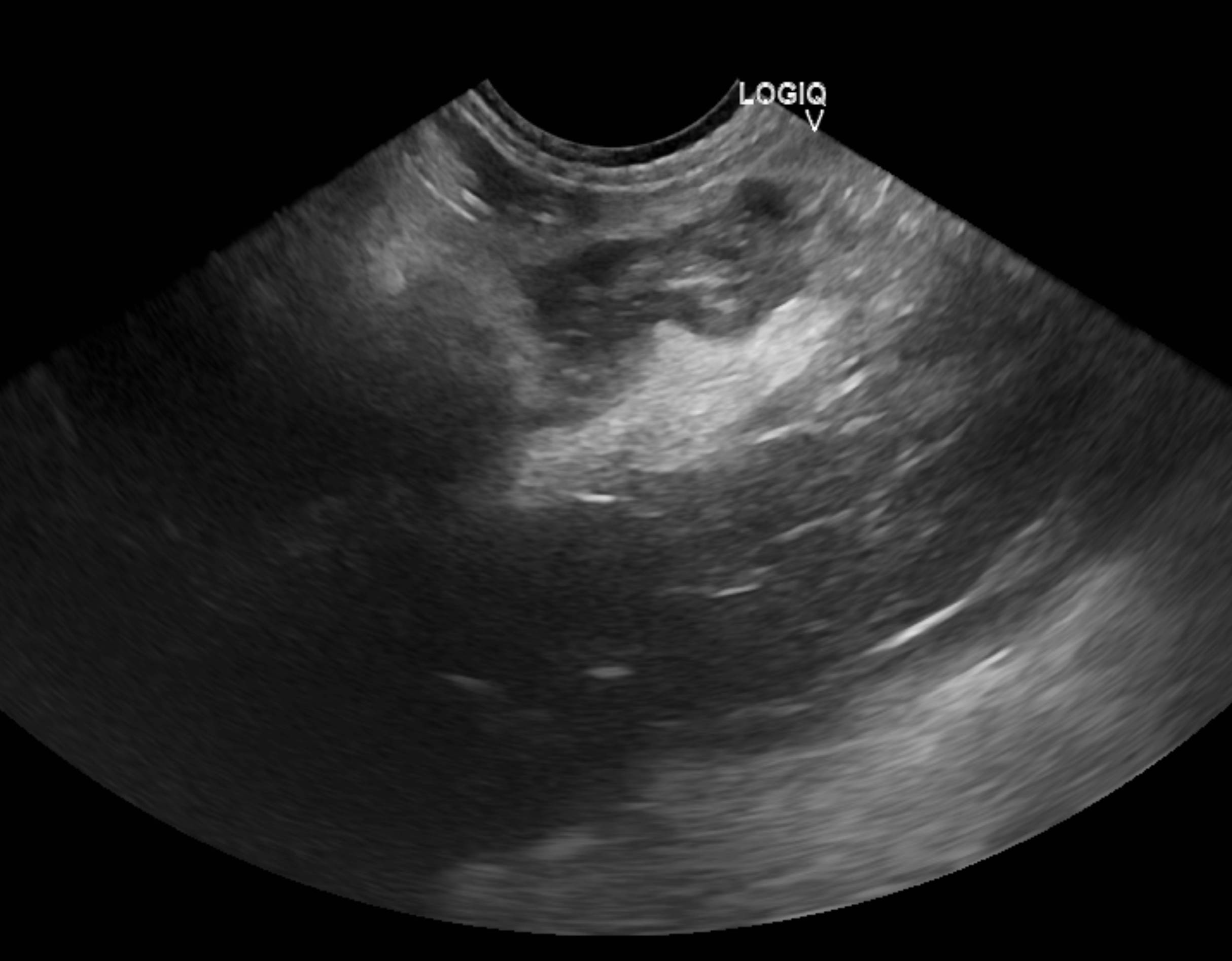
6-2.超音波検査
猫の膵炎が疑われる場合の最も一般的な検査です。
膵臓だけではなく、腸や肝臓、胆嚢なども一緒に評価できます。
一方で正常な膵臓と急性膵炎や慢性膵炎との区別、
腫瘤がある場合の腫瘍と過形成との区別といった際の特異度は高くはありません。
猫の急性膵炎の超音波検査所見は、あいまいな場合もあれば、膵臓の肥大、周囲の腸間膜の高エコー、
限局性の腹部滲出液などを認める場合もあります。
慢性膵炎の超音波検査の特徴は猫では十分に確立されていません。
膵臓の高エコーまたは混合エコー所見、総胆管の拡張、膵臓腫大、
及び不規則な膵臓の辺縁などが認められる場合があります。
7. 臨床病理学
7-1.一般的な臨床病理学
まずはCBC、血液化学検査、尿検査はミニマムデータベースとして必要です。
これらは急性膵炎や慢性膵炎に特異的な検査ではありませんが、
他の疾患の除外や併発疾患の有無を調べるのに非常に重要です。
特に重症の場合、血小板減少症およびPT、APTT、フィブリン分解産物(FDP)やD-ダイマーの増加など
から播種性血管内凝固症候群(DIC)を伴っている可能性を考えます。
その他にも症状や病態の違いによって、様々な検査結果がでることが予測されます。
7-2.リパーゼ
膵臓の腺房細胞は、多種多様な消化酵素(アミラーゼ、リパーゼ、DNAse、RNAseなど)や、
不活性な消化酵素の前駆体(チモーゲン:トリプシノーゲン、キモトリプシノーゲン、プロエラスターゼ、
プロフォスフォリパーゼなど)を合成・分泌し、膵管を介して小腸に放出しています。
これらの少量は血管内へ入っていきます。
理論的には、膵臓に炎症や損傷が生じると、チモーゲン顆粒が腺房細胞から間質に漏れ出し、
最終的には血液中に到達します。そのため、膵臓の酵素やチモーゲンは膵炎のマーカーとして利用できます。
ただし、これらの酵素はとても小さかったり、急速に分解されてしまい測定が困難です。
一方でその他の酵素は膵臓の腺房細胞以外からも分泌されるため、特異性が低くなります。
つまり、理想的な膵炎のマーカーは腺房細胞から分泌され、血液中に長くとどまるものとなります。
膵臓リパーゼはこれらの条件を満たす酵素ですが、バイオマーカーとして用いるためには、
膵臓リパーゼに特異的なアッセイを用いて分子を測定する必要があり、これには多くの問題が生じます。
多くの問題からネコにおける膵臓リパーゼを用いた膵炎の診断の報告はほぼありません。
リパーゼを測定する別の方法として現在用いられているものが、膵臓特異的リパーゼ(fPLI)です。
ある回顧的な研究では、275匹の膵炎の猫におけるSpec fPLの陽性的中率は90%、陰性的中率は76%
であったと報告されています。これらの結果から、Spec fPLの陽性結果は、膵炎を診断の可能性が
あることを示しており、一方で、この検査を用いて膵炎を除外することはできないことが示唆されました。
(ここからさらに難しくなるので略)
7-3.追加検査
昔から血清アミラーゼ活性の増加は、一部の猫の急性膵炎に関連しているといわれています。
しかし、診断感度が低く、組織特異性がないため、アミラーゼの酵素活性は猫の膵炎の
バイオマーカーとしての有用性は低いと考えられています。
その他、fTLIやTAP(トリプシノーゲン活性化ペプチド)などがあります。
7-4.細胞学ー略
8. 病理学
(ここからさらに難しくなるので略)
本日はここまでとなります。
病態や診断の話は多くの専門知識が必要で難しいですね。
猫の膵炎は個人的にも診断がとても難しいと感じます。
あまり症状を強く出さない子が多いからです。
でも、だからこそ、早く発見してあげたい疾患の一つです。
次回はACVIM consensus statementに記載されている、猫の膵炎の治療のお話です。
