Medical Guide
診療のご案内
腫瘍科・血液内科・予防医療の 専門的な診療をご案内します。
腫瘍科
獣医腫瘍科認定医Ⅰ種による専門的ながん診療
🫧
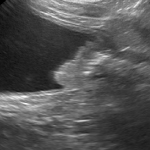
膀胱・尿道の腫瘍
血尿・頻尿・排尿困難などが主な症状。超音波検査で早期発見が重要です。
詳しく見る →🦋
甲状腺腫瘍
首周りのしこりが発見の契機になります。犬と猫では性質が大きく異なります。
詳しく見る →👃
鼻腔内腫瘍
片側性の鼻出血・鼻汁・くしゃみが続く場合は要注意。CT検査が診断に有用です。
詳しく見る →🔍
体の表面のできもの
ペットが気にしない場合でも放置は禁物。早期の細胞診検査が大切です。
詳しく見る →🫀
リンパ腫
犬猫で最もよく見られる腫瘍の一つ。体表リンパ節腫大や消化器症状が現れます。
詳しく見る →🎀
乳腺腫瘍
未避妊の高齢雌に多い腫瘍。猫では約85〜90%が悪性で、早期発見・早期治療が重要です。
詳しく見る →🔬
肥満細胞腫
犬では最も多い皮膚腫瘍の一つ。しこりの大きさが変化したり赤くなる場合は要注意です。
詳しく見る →🦷
口腔内腫瘍
よだれ増加・口臭悪化・食べ方の変化が初期サイン。メラノーマ・扁平上皮癌などが代表的です。
詳しく見る →💪
軟部組織肉腫
筋肉・脂肪・線維組織に由来する悪性腫瘍。局所浸潤が強く、最初の治療計画が予後を左右します。
詳しく見る →血液内科
難治性の血液疾患に専門的に対応
🩸
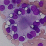
白血病
造血系細胞の腫瘍。貧血・感染症・出血症状が現れます。積極的な化学療法が必要です。
詳しく見る →🔬
免疫介在性血小板減少症(ITP)
免疫が自身の血小板を破壊する疾患。皮下出血・血便などが見られます。
詳しく見る →💉
免疫介在性溶血性貧血(IMHA)
致死率50〜70%の怖い病気。倦怠感・粘膜蒼白・黄疸が現れます。迅速な治療が必須です。
詳しく見る →🧬
非再生性免疫介在性貧血・赤芽球癆
骨髄での赤血球産生が障害される疾患。重度の非再生性貧血が特徴です。
詳しく見る →🦠
免疫介在性好中球減少症
免疫が自身の好中球を攻撃する疾患。感染症への抵抗力が著しく低下します。若い犬に多く見られます。
詳しく見る →🩺
輸血
重篤な貧血や出血に対する救命処置。安全な輸血管理のもと、緊急時にも迅速に対応します。
詳しく見る →予防医療
大切なペットの健康を守る定期的な予防ケア
