みなさん、こんにちは。院長の諏訪です。
梅雨が明けたのか、明けていないのか
といった天気が続きますね。
気を抜くととても暑くなったりしますので、
熱中症にはくれぐれもご注意ください。
新型コロナウイルスのニュースもまだまだ続きそうですね。
ワクチンや感染症について、
多くの方々が勉強する機会になったと思います。
感染症はとても怖い病気です。
それは人も動物も同じです。
目に見えない分、感染症ってそんなに身近ではないように
感じるかもしれません。
だからワクチンも打たなくていいと思うかもしれませんが、
感染症は身近に存在します。
また、ワクチンを打つことで、
集団免疫を上げることができます。
動物にとってもワクチンはとても大事なことだと思います。

さて、本日は論文雑誌のJAVMAに最近投稿された
「犬の多中心型リンパ腫に対する
プレドニゾロン(ステロイド)単独の治療による生存期間」
の報告をリンパ腫の一般的な話とともに、
ほんの少しご紹介したいと思います。
リンパ腫ってなに?
リンパ腫は血液のがんの一つで、
体の中のリンパ球と呼ばれる細胞が
腫瘍化したものになります。
リンパ球は体のどこにでも存在するため、
リンパ腫はどこにでも発生すると考えられます。
リンパ腫に関してはこちらの記事も参照にしてください。
また以前ブログにてT細胞性リンパ腫の記事も書きました。
こちらも参考にしてください。
多中心型リンパ腫とは?
前述したとおり、
リンパ腫は体のあらゆるところで発生します。
発生する場所によって、多中心型、消化器型、胸腺型など、
さまざまな名称があり、
症状や重篤度、治療法、予後が変わってきます。
これらの中で犬で最も発生の多いリンパ腫が
「多中心型」となります。
多中心型リンパ腫の発生は
おもに体の表面にあるリンパ節がメインとなります。
リンパ節のあちこちが腫れることが
特徴的な所見になります。
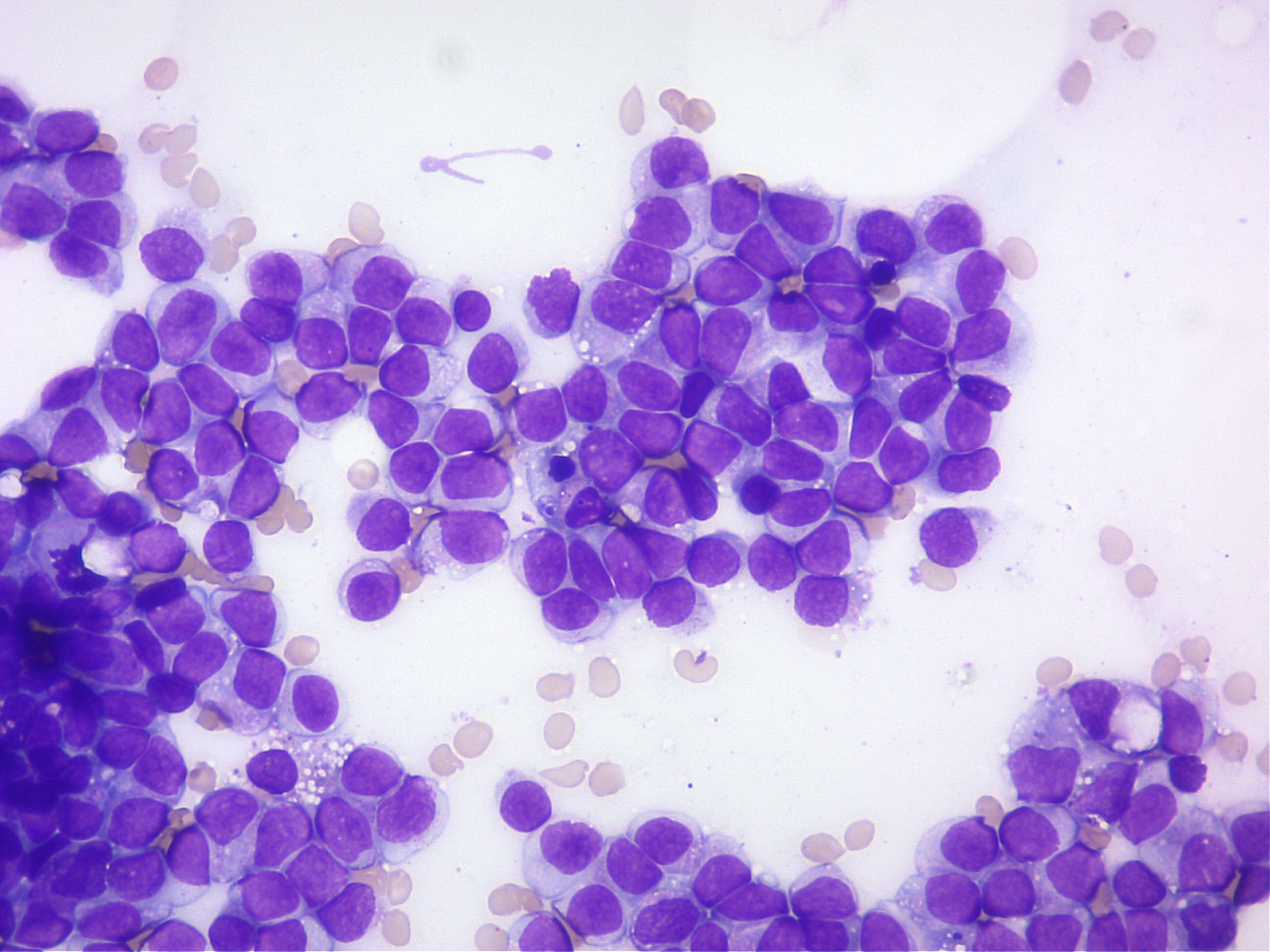
診断するには?
診断法は状況によって様々です。
多くの場合、腫れているリンパ節の
針吸引生検(FNA/FNB)や、
リンパ節の組織生検などによって診断されます。
場合によっては遺伝子検査などを
併用することもあります。

治療法は?
多中心型リンパ腫の治療はおもに抗がん剤治療になります。
使用する抗がん剤は、
状況によって変える必要がありますが、
一般的にはCOP/CHOPプロトコールとよばれる
多剤併用療法が用いられ、
現在ではCHOPを基にした、
UW25と呼ばれるプロトコールを用いることが多いです。
ステロイドだけの治療ってどうなの?
本日のメインはここの話になります。
ステロイドはリンパ腫に
一定の効果があると考えられます。
抗がん剤とは違い、
安価で飲ませるだけでいいというメリットもあります。
今回の報告ではアメリカの15施設における、
109頭の多中心型リンパ腫の犬が
対象となりました。
結果はステロイドのみの治療をした場合の
生存期間中央値は50日でした。
これは他の抗がん剤治療と比較すると
統計学的に有意に短いという結果でした。
例えば前述のUW-25プロトコールなどでは
生存期間中央値は約300日と言われています。
ステロイドは治療選択肢の一つにはなりますが、
このような研究は
その選択をする際の一つの手助けとなるでしょう。
ただし、決してステロイド単独の治療が
ダメなわけではありません。
少し前にブログにも書きましたが、
データだけを見るのもいけません。
“Time lines and percentage rates should not be taken too literally.”
=生存期間や生存率といった時間などの値に捉われるべきではない。
です。
多くの情報があり、たくさんの選択肢の中で、
その子、そのご家庭にあった治療法を
しっかりと選択できるといいなと思います。

どんな時でも、明るい未来を目指して、
志をしっかりもって、突き進んで行きたいです!
