みなさま、こんにちは。院長の諏訪です。
暑さも随分やわらかくなり、
朝は冷え込むことが増えてきました。
こういうときは、人も動物も体調を崩しやすいです。
僕も先日崩しましたが、みなさまもお気をつけください。
先日の臨時休診について
9月は18-19日の休診、さらには25-26日の臨時休診と
2週続けてお休みさせていただき、非常にご迷惑をおかけしました。
特に25-26日は当日に決めたことで、多くの方にご迷惑をおかけして、
誠に申し訳ございませんでした。
その時に色々な方から温かい言葉をいただいてとても嬉しかったです。
ありがとうございました。
10月、11月も学会業務などで休診となる日がございます。
ご確認のほどよろしくお願いいたします。
ホームページでもご連絡しますが、LINEでもご連絡いたします。
よければご登録ください。

学会発表をしました!
さて先日、第71回九州地区獣医師大会に参加させていただきました。
僕も1題発表させていただきました。
オンラインでの発表でしたので、なかなか多くのディスカッションはできませんでしたが、
いい経験ができました。
次は11月に大阪である学会での講演と発表に向け、また準備を進めていこうと思います。

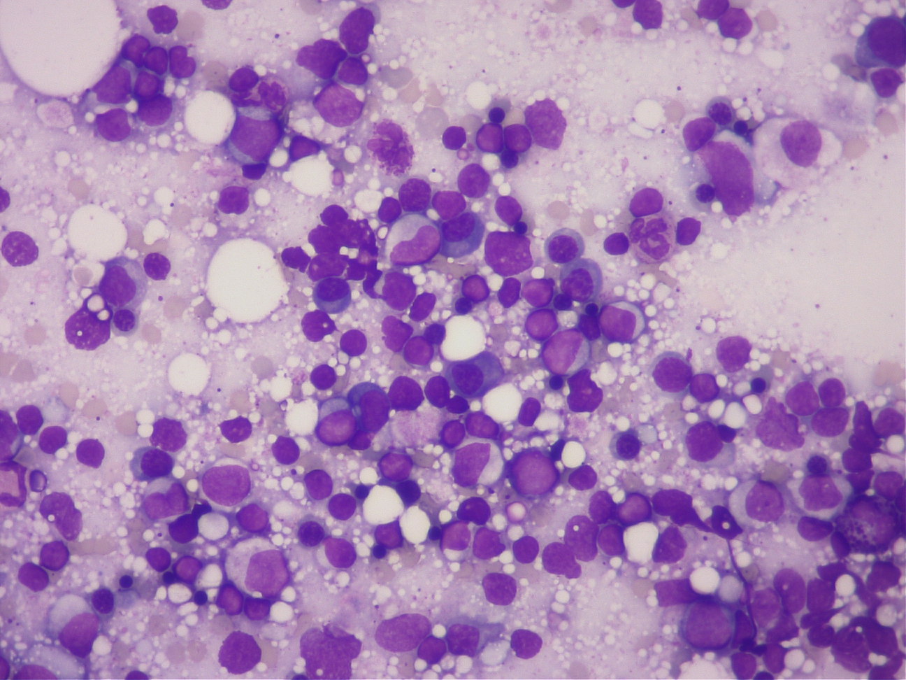
骨髄検査について
8月、9月は骨髄検査を比較的多く実施した月でした。
また骨髄検査について聞かれることも多かった気がします。
思い返せば去年も夏ごろに多かった気がします。
なにか季節性でもあるのでしょうか。。
ということで、今日は(以前といっても2020年12月なので
約2年前ですが)一度書きましたが、
「骨髄検査の話」をもう一度したいと思います。
(過去のブログはこちら→骨髄検査について)
骨髄検査とは?
骨髄検査は文字通り、骨髄の状態を把握する検査になります。
少し太めの針を骨に刺して骨髄液、骨髄組織を採取します。
その後、骨髄塗抹を作成し、様々な染色、場合によっては組織検査を
行って、骨髄の状態を把握します。
人も動物も通常痛みを伴う検査となりますので、鎮静〜軽い麻酔が必要となります。
骨髄=工場という考え方
骨髄は赤血球や白血球、血小板が作られる場所(工場)です。
いわゆる血球の工場であり、多くの造血細胞が存在し、毎日働いています。
工場で作られた細胞は身体の至る部分へ運ばれ、仕事をします。
例えばその一つが赤血球です。
酸素を運ぶ働きをするこの赤血球が、ある日とても少なくなったとします。
すると身体の中では酸素が足りなくなり、色々な部分で問題が生じます。
フラフラしたり、白くなったり。元気や食欲が減ることも多いでしょう。
これを「貧血」と呼びます。
貧血が起こると、工場が忙しくなります。
多くの赤血球をいつも以上に作ります。
少し若い赤血球も身体の中で増えてきます。
この状態を「再生性貧血」と呼びます。
どんどん赤血球が増えて貧血の状態を改善しようと工場はがんばります。
これが通常の骨髄の反応です。
ところが、工場を動かしている造血細胞に異常が起こると
赤血球を作ることすらできなくなります。
例えば自分の免疫から攻撃を受けたり、
腫瘍細胞から攻撃を受けたりした場合です。
貧血の状態なのに、身体の中で若い赤血球が増えない状態を
「非再生性貧血」と呼びます。
この場合、工場(つまり骨髄)に問題がある可能性が高いことになります。
我々が普段行っている血液検査で、非再生性貧血がみられたとき、
すべてが骨髄検査の適応になるわけではないのですが、
状況によって骨髄検査をしなければならないことになります。
工場で何が起こっているか分からなければ、
例えばそれが火事なら消火、攻撃なら防御といったように、
対応のしかたが変わってきます。
対応、つまり治療の方法を考えるためにも
骨髄検査は非常に重要な検査となるのです。
最近の骨髄検査でわかった疾患
直近当院で行った骨髄検査でわかった疾患は
・非再生性免疫介在性貧血(NRIMA/PIMA)
・赤芽球ろう(PRCA)
・免疫介在性汎血球減少症もしくは骨髄異形成症候群(MDS)
・NRIMA+血球貪食症候群(HPS)
・骨髄球系重度低形成(いわゆる免疫介在性好中球減少症)
・免疫介在性汎血球減少症
などでした。

血液検査では同じ「貧血」や「血球減少症」にみえますが、
骨髄検査を実施してみると様々な病気であることが分かります。
治療法も同じように行う場合もあれば、全く異なる治療を行うこともあり、
さらにいつまで今の治療が続くのかなどを把握することができたり、
多くのことが分かります。
相手がわからないまま治療を続ける場合、
うまくいく場合はいいのですが、うまくいかないとき、
この治療が合ってるのか、他の病気はないのかなど
どんどん不安になってきます。
さらに状態は悪くなり、骨髄検査などの機会も逃してしまうことになります。
鎮静や麻酔が不安・・
骨髄検査は痛みを伴う検査です。
痛みと言ってもすごく痛いわけではありませんが、
骨に針を刺すのでさすがに無麻酔ではできません。
一方で骨髄検査が必要な症例は、ほとんどが状態の悪い症例です。
貧血が重度であったり、血小板がなかったり、
麻酔のリスクが高いと考えないといけない場合が多いです。
ですが、深い麻酔はかけず、鎮静に近い、軽い麻酔で対応できる場合が多いです。
そうはいってもやはり不安という飼い主様の気持ちもよくわかります。
不安をゼロにはできませんが、
できる限り安全に行えるよう、術前の検査でしっかりと体の状態を評価し、
慎重に行えるよう常に準備しています。
さいごに
骨髄検査について少しはわかっていただけたでしょうか?
「正確な診断なくして的確な治療はない」
と僕の恩師はよくおっしゃっていました。
僕は今でもいつもこの言葉を念頭に置いて診察にあたっています。
不安なことは多いと思います。
いつでもご相談ください。

