as0718y– Author –
-
日々のこと
開院1周年を迎えて
みなさん、こんにちは。院長の諏訪です。 先日の7月24日で当院は開院1周年を迎えることができました。 この1年間を振り返り、予想していた以上に多くの飼い主様に来院していただきました。 全ての方に満足していただけるような診察を心がけていますが、 ... -
日々のこと
自然災害時のペットとの避難
みなさんこんにちは、看護師の鈴木です。 先日の大雨では多くの被害が出ました。日本は地震や雨など自然災害の多い国です。 ペットがいるご家庭ではどの様に非難をするのか、また災害時に備えてなにをするべきなのか 改めて、見直していきたいと思います。... -
日々のこと
爪のお手入れ
皆さんこんにちは☀️看護師の岡田です。 7月も半分が過ぎようとしていますね! 夏といえば私の大好きなスイカの季節です🍉 皆さんは今年もうスイカ食べられましたか? 私は実家熊本のスイカを美味しくいただきました😋 ... -
日々のこと
免疫介在性血小板減少症(ITP)について
みなさん、こんにちは。院長の諏訪です。 梅雨ですね!我が家の家庭菜園たちは雨に喜び、すくすくと育っています。 毎朝起きて窓からちらっと観察する。結構幸せな時間です。 よくよく見ると、小さなオクラたちが!! お分かりいただけたでしょうか? 大葉... -
日々のこと
ナメクジと塩
みなさんこんにちは、看護師の鈴木です。 梅雨の時期は外がジメジメしていて憂鬱です😩 この時期になると、道端によくナメクジやミミズやカタツムリを見かけます。 私にとっては憂鬱な雨でもナメクジやミミズやカタツムリにとっては最高の日なのか... -
日々のこと
人獣共通感染症
皆さん、こんにちは☀️看護師の岡田です😊 今回は、以前ブログ内でお話しした「院内発表」の私の発表が先月(5月)だったので、その発表内容についてブログでも少しお話しさせていただきたいと思います! 以前の院内発表について... -
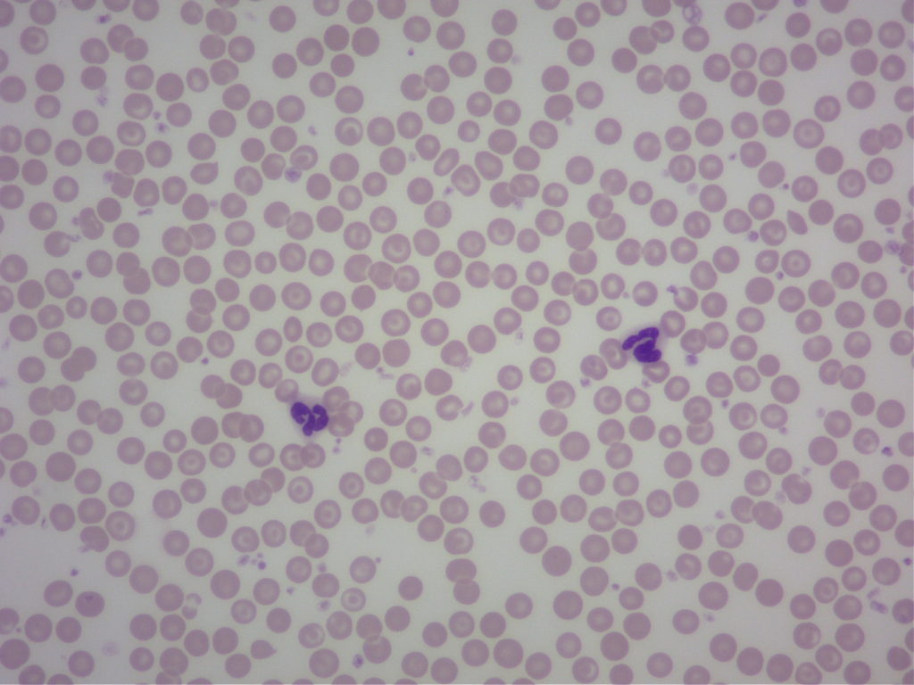
日々のこと
血球との対話
みなさん、こんにちは。院長の諏訪です。 梅雨入りして、ジメジメした日が続きますね。 曇りばかりだと、なぜか気分も曇ってしまいがちです。 気持ちもそうですが、曇りがちな時ほど、この先に待ってる明るい未来を目指して、日々精進していきたいと思って... -
日々のこと
動物同伴での公共交通機関の利用
みなさんこんにちは、看護師の鈴木です。 少しずつ、お家の子と一緒にお出かけする機会も増えてきたのではないでしょうか。 今日は、動物同伴での公共交通機関の利用についてお話しします。 公共交通機関を動物と利用するにあたって初めに、 動物の公共交... -
日々のこと
犬の4つの予防
皆さんこんにちは☀️看護師の岡田です! 6月に入り、今年も半分が過ぎようとしています。早いですね😵 今年の春は新型コロナウイルスの影響で家にいる機会が多く、子犬を迎えたご家族も多いのではないでしょうか? 今回はそん... -
日々のこと
FeLVとFIV感染症について(その3)
みなさん、こんにちは。院長の諏訪です。 新型コロナウイルスに対する緊急事態宣言は解除されましたが、まだまだ油断しなようにしないといけません。 ついつい気が緩みがちですが、手洗い・うがい、基本ですね! 当院のトネリコは少しずつ成長しています。...
