日々のこと– category –
-
日々のこと
ミニチュアダックスフンドの骨髄疾患
みなさん、こんにちは。院長の諏訪です。 オクラの収穫時期になりました! どんどん生えてきます。ニョキニョキ出てきます。楽しすぎてくせになりそうです。 一方できゅうりは、 こんな感じで、収穫はできるものの、多くのキュウリは育つ前に枯れてしまい... -
日々のこと
犬猫の下痢
みんなさんこんにちは、看護師の鈴木です。 今日は犬猫の「下痢」についてお話しします。 動物病院では「下痢」の症状で来院される方は多いです。 特に犬猫は、人に比べ血便を伴うことが多いため 飼い主様としては気が気ではないですよね…💦 「下痢... -
日々のこと
エリザベスカラー?エリザベスウェア?
皆さん、こんにちは😊看護師の岡田です。 梅雨も明け、すっかり夏になりましたね☀️ ペットだけでなく、ご自身やご家族も熱中症には十分ご注意下さい⚠️ 今回は避妊・去勢手術後の術部を舐めないようにす... -
日々のこと
開院1周年を迎えて
みなさん、こんにちは。院長の諏訪です。 先日の7月24日で当院は開院1周年を迎えることができました。 この1年間を振り返り、予想していた以上に多くの飼い主様に来院していただきました。 全ての方に満足していただけるような診察を心がけていますが、 ... -
日々のこと
自然災害時のペットとの避難
みなさんこんにちは、看護師の鈴木です。 先日の大雨では多くの被害が出ました。日本は地震や雨など自然災害の多い国です。 ペットがいるご家庭ではどの様に非難をするのか、また災害時に備えてなにをするべきなのか 改めて、見直していきたいと思います。... -
日々のこと
爪のお手入れ
皆さんこんにちは☀️看護師の岡田です。 7月も半分が過ぎようとしていますね! 夏といえば私の大好きなスイカの季節です🍉 皆さんは今年もうスイカ食べられましたか? 私は実家熊本のスイカを美味しくいただきました😋 ... -
日々のこと
免疫介在性血小板減少症(ITP)について
みなさん、こんにちは。院長の諏訪です。 梅雨ですね!我が家の家庭菜園たちは雨に喜び、すくすくと育っています。 毎朝起きて窓からちらっと観察する。結構幸せな時間です。 よくよく見ると、小さなオクラたちが!! お分かりいただけたでしょうか? 大葉... -
日々のこと
ナメクジと塩
みなさんこんにちは、看護師の鈴木です。 梅雨の時期は外がジメジメしていて憂鬱です😩 この時期になると、道端によくナメクジやミミズやカタツムリを見かけます。 私にとっては憂鬱な雨でもナメクジやミミズやカタツムリにとっては最高の日なのか... -
日々のこと
人獣共通感染症
皆さん、こんにちは☀️看護師の岡田です😊 今回は、以前ブログ内でお話しした「院内発表」の私の発表が先月(5月)だったので、その発表内容についてブログでも少しお話しさせていただきたいと思います! 以前の院内発表について... -
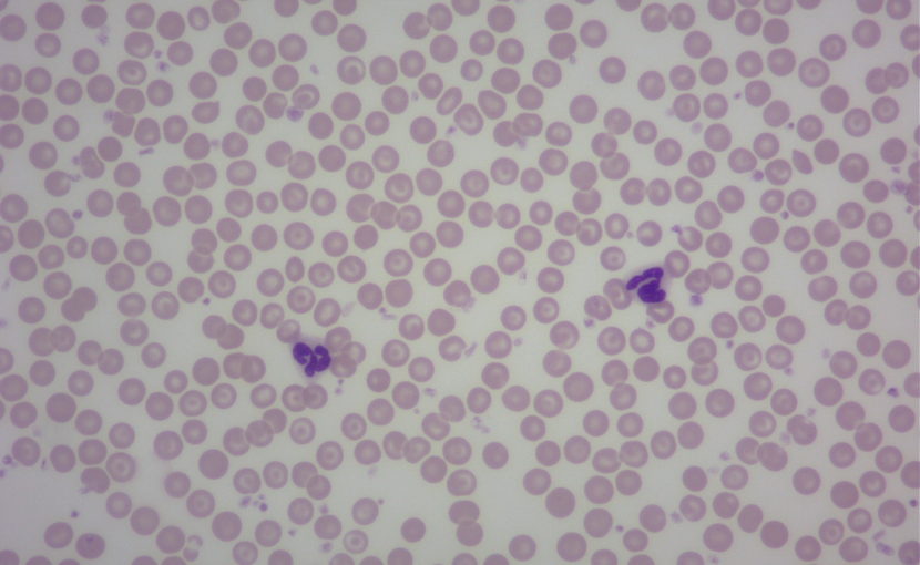
日々のこと
血球との対話
みなさん、こんにちは。院長の諏訪です。 梅雨入りして、ジメジメした日が続きますね。 曇りばかりだと、なぜか気分も曇ってしまいがちです。 気持ちもそうですが、曇りがちな時ほど、この先に待ってる明るい未来を目指して、日々精進していきたいと思って...
